
В Центре имени Л.М. Рошаля провели успешную операцию по извлечению стоматологической скобы из желудка тринадцатилетней пациентки. Радостную новость о спасении девочки 25 ноября распространила пресс-служба Минздрава Московской области.
Поступившую в стационар школьницу немедленно обследовали с помощью рентгенографии и перевели в хирургию для экстренной помощи.
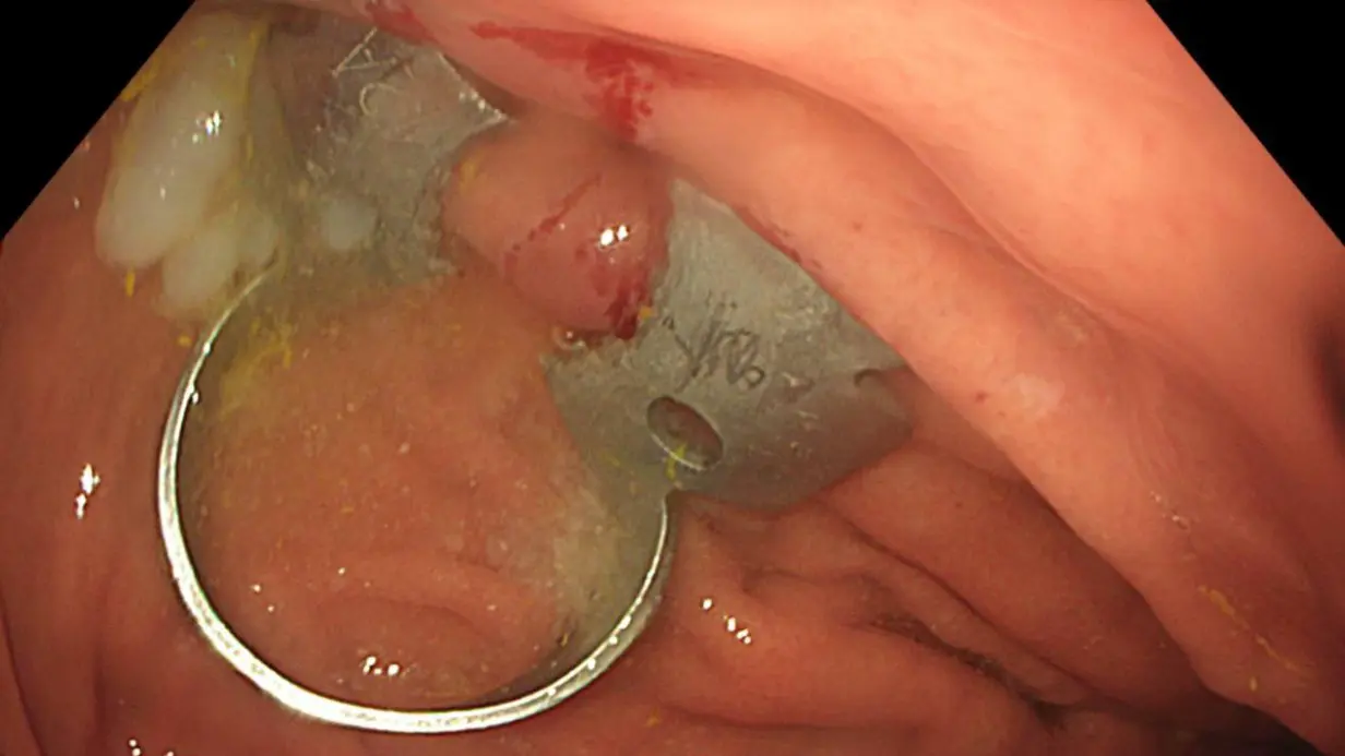
— Гастроскопия позволила аккуратно захватить инородное тело эндоскопической петлей. Острый предмет требовал предельной осторожности — мы бережно провели скобу через пищевод и гортаноглотку, исключив повреждения, — пояснила врач-эндоскопист.
Операция длилась всего 10 минут и завершилась полным успехом! Контрольный осмотр не выявил травм слизистой, а уже на следующие сутки девчушка отлично себя чувствовала и отправилась домой. О достижении сообщает портал ведомства.
Для справки: ранее московские медики демонстрировали удивительные случаи извлечения предметов, включая арбалетную стрелу из черепа и игрушечный мяч из прямой кишки.
Источник: vm.ru/






